Check
〜このような方へおすすめ〜
- ・フェイスラインをすっきりさせたい
- ・大きい顔が気になる
- ・たるみが気になり、リフトアップをしたい
デンタルエステ
ボツリヌストキシン製剤療法
脂肪溶解療法
Check
〜このような方へおすすめ〜
- ・黄ばんだ歯を白くしたい
- ・口の中をさっぱりしたい
- ・歯周病やむし歯の予防もしたい
- ・歯茎の色が悪い
- ・口腔粘膜のトラブル防止
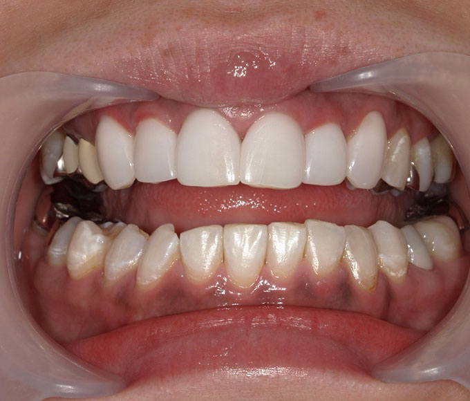
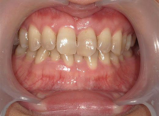
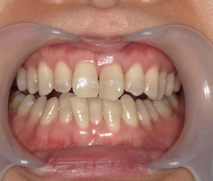
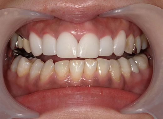
ホワイトニング
デンタルエステ
シンデレラ点滴
高濃度ビタミンC点滴
脂肪溶解療法
マイヤーズ
カクテル
Pickup
注目の施術
order
一人ひとりにあったオーダープラン
お口周りからインナーケアまで、一人ひとりに合わせた最適なケアプランをご提案。プライバシーも配慮した完全個室のカウンセリングルームをご用意しております。明確な料金と丁寧な説明で、安心して施術を受けていただける環境で、あなたのなりたい理想を一緒にお手伝いします。
Dental esthetic
魅力のデンタルエステ
魅力のデンタルエステで、ワンランク上のケアを提供。お口元からフェイシャルケアまで、リラックスしながら理想の笑顔を手に入れることができます。丁寧な施術で、あなたの魅力を最大限に引き出し、内面からも健康的な美しさをサポートします。ぜひご体験ください。
Whitening
白く輝く歯へ
白い歯は、笑顔をより美しくします。削らないホワイトニング技術を用いて、自然な白さを実現。オフィスで行うものからご自宅で気軽にできるホームホワイトニングまでご用意しております。専門のスタッフが、白さを持続する方法なども合わせて、ご紹介します。

Bridal
ブライダルイベントへ
向けての集中ケア
ハリや美肌、輝かしい笑顔をブライダル集中ケアで、最高の特別な日へ。丁寧な施術で、あなたの美しさを最大限に引き出します。

Hyaluronic acid
ヒアルロン酸注入
シワ改善と共に、潤いのある唇とハリのあるお肌を手に入れるヒアルロン酸施術。自信を持てる日々をサポートします。
ほうれい線、マリオネットラインのシワ改善と共に、唇のボリュームアップ、ブラックトライアングルの改善を図ります。

Anti-aging
インナーケア
エイジングケア
美容点滴で内側から美しさを引き出し、若々しさを持続。朝の目覚めや疲労回復にもおすすめです。美容と健康の両方にアプローチできる最強のインナーケアです。

Botulinum toxin therapy
ボツリヌストキシン製剤療法
筋肉に天然のたんぱく質を注射し、筋肉をリラックスさせて歯ぎしり、くいしばり、ガミースマイル等の改善を図ります。

Lipolysis therapy
脂肪溶解療法
頬の脂肪層が多いことで歯磨きがしにくく起きる。虫歯、歯周病、口腔粘膜外傷改善を図ります。また、二重あごにより起きやすい
口呼吸、無呼吸症候群の改善も図ります。
Point10
当院の通いやすいポイント
-
綺麗になりたい方のサポート
-
明確な料金表とわかりやすいプラン
-
丁寧な説明とカウンセリング
-
無料相談実施中
-
広い駐車場やバリアフリー構造
-
提携病院があるため安心
-
お口に特化したメンテナンス
-
自動精算機で楽々お支払い
-
電話・ネット予約可能
-
クレジット支払い対応
CASE
Flow
ご利用の流れ

Dr guide
院長のご紹介
綺麗になりたい。いつまでも美しくいたい。
口元は、第一印象を大きく左右する要素のひとつです。
わずかな変化でも、表情全体の印象に大きく影響します。
当院では、歯科医療の専門性を活かし、“機能性”と“審美性”の両立を目指した美容医療を行っております。
噛み合わせ・表情筋・口腔環境を熟知した歯科医師だからこそできる、土台から整えるアプローチ。
ただ見た目を整えるのではなく、しっかり噛めること、自然に笑えること、無理のない表情でいられること。
そのすべてが調和した、自然で美しい口元をご提案いたします。
見た目を整えたい方、しっかり噛めるようになりたい方、歯並びを整えたい方、虫歯を治療したい方、これからも長くご自身の歯で食事を楽しみたい方。
さまざまなご要望にお応えできるよう、各種治療を取り揃えております。まずはお気軽にご相談ください。
FAQ
よくあるご質問
- 妊娠中や未成年でも受けられますか?
-
施術内容により異なりますので、ご不明点や相談に関しましては、スタッフにお尋ねください。予約(カウンセリング)も実施しております。
- おまかせプランはありますか?
-
お悩みに合わせて、オーダーメイドで提案することが可能です。ぜひお気軽にご相談ください。
- 現金以外でもお支払い可能ですか?
-
現金以外は、クレジットカード・銀行振込でのお支払いが可能です。また、自動精算機を設置してますのでお会計もスムーズです。
- イベント(ブライダルや前撮り)に向けて短期集中の美容プランはありますか?
-
ブライダルや前撮り・就活・その他様々なパーティーのイベントなどに向けて、短期集中の美容プランをご用意しております。お客様のニーズに合わせたプランをご提案いたします。


